
婦人科看護師きくとまです。今回は、子宮頸がん検診をして、要精密検査と通知がきた場合どのような検査をするのかをお伝えしたいと思います。
子宮頸がん検診とは、子宮頸部の細胞をブラシで擦過し検査をするものです。検診にて、通常の細胞でないものが発見された時、より詳しく細胞の状態を知るために組織検査をすることがあります。それを要精密検査と言います。要精密検査の内容によって変わりますが、ASC-USという結果であった場合は、子宮頸部にHPVウイルス(子宮頸がんの原因となるウイルス)がいるか、また、そのHPVの型式の検査になりますので、この場合は、子宮頸がん検診と同じく、ブラシで擦過するだけですので、特に痛みなどは伴いません。
それ以上だった場合、診断でいくと、ASC-H、LSIL、HSIL、このような診断が出た場合は組織診断をおこないます。
組織検査の方法は?


まずは、子宮頸部の部分をコルポスコープという虫メガネのような機械で拡大して診ます。診ることは痛くはありませんが、膣内にクスコという器具を入れ、子宮頸部を確認するため膣を開いている状態なので(男性の大きいペニスが挿入している状態とほぼ同じ)、性行為があまりない女性や、子宮頸部が狭い女性は、少しだけ痛みがあることもあります。
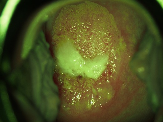
その後、子宮頸部に3%酢酸溶液を塗ります。特に痛みはありませんが、お酢のような臭いを感じるかと思います。1分間後、子宮頸部の異常部分が白くなり、細胞がどのような状態なのか詳しく知ることができ、観察しやすくなります。また、癌ができやすい部分、細胞がおかしな部分(移行帯)を知ることができます。
子宮頸部をつかみ取る

酢酸で白く染まった部分(組織)は、まだ癌なのかどうかはっきりはわかりません。でも、このちょっとしたおかしな部分をパンチという器具を使って掴み取ります。人によってはこの時痛みが生じます。大体は1ヶ所だけではなく、数ヶ所つかむため、痛みと出血があることが大半です。
つかんだ部分は、ホルマリンという液の中に入れて、検査に出すことになります。
つかみ取った頸部のあと、膣の中の処置はどうするの?

掴んだ後は、その部分の止血処置をします。止血止めの粉をふって、圧迫止血をするためにガーゼを膣の中に詰めます。ガーゼは数時間後に自分で抜くことになります。抜くときはゆっくりと抜きます。
タンポンを入れたことがある方は、その抜き方で大丈夫です。タンポンを入れたことのない方は、ビデで膣の入り口を濡らすとスムーズにガーゼを抜くことができます。または、入浴時にシャワーで濡らして抜くのも良いでしょう。出血が落ち着くまでは、入浴は避け、シャワー浴にしましょう。
検査後はしばらく出血があると思いますが、約1週間くらいで止まります。月経量より多い出血があった場合は止血処置をしないといけないので、検査をした病院を受けて、止血処置をしてもらってくださいね。
セックスも2週間は控えてください。
要精密検査で異常がなかった場合は?
さて、この要精密検査で癌ではなかった場合でも、癌になるかもしれないウイルスがあなたの膣内にいるため、引き続き検査を受けることになるかと思います。検査の結果によりますが、一年後、または6ヶ月後に検診、もしくは3ヶ月ごとに検診などと主治医からの指示があるかと思います。次の検査の時期を言われたら、必ずその時期に検査を受けるようにしてくださいね。
それが、貴方の身体を守る一番の近道です。

